Our Advertisers Represent Some Of The Most Unique Products & Services On Earth!

 
rense.com
 

The 'Star Cell'
The microscopic indicator of bacterial infection
in cancer, AIDS and chronic disease  

2011 Alan Cantwell, MD
All Rights Reserved
6-21-11
 
Introduction
 
During my career as a dermatologist, I was always interested in searching for bacteria in skin biopsies in "acid-fast" stained sections; and in finding bacteria in diseases in which bacteria were not supposed to exist. For want of a better title, I refer to my controversial body of published microscopic work as "cancer microbe" research.
 
My first encounter with "pleomorphic" microbes (bacteria having more than one form) began as a resident in the early 1960s, when I discovered unusual tuberculosis-like acid-fast bacteria in vivo (i.e. within the tissue) in four patients with panniculitis (an inflammation of the fatty layer of the skin).
 
Quite by accident, I also found acid-fast bacteria in scleroderma in 1965. My dermatology professor J Walter Wilson, also a well-known expert in fungal diseases, insisted I get a "negative" control skin biopsy to counterbalance the repeated positive findings of acid-fast bacteria I was encountering in panniculitis patients. He suggested a biopsy from scleroderma, which would surely be negative for acid-fast bacteria, as scleroderma is not considered a bacterial infection.
 
When the technician in the tuberculosis (TB) laboratory examined "smears" of the scleroderma biopsy, she detected typical acid-fast stained bacilli, rod forms like those causing TB. After confirming this remarkable finding, I assumed I could find acid-fast rod forms in the patient's slides prepared by the pathologist. However, after countless hours of study, I was only able to detect a few rods. (Fig 1.)
 
 
 
Fig 1. SCLERODERMA. Extremely rare red-stained stick-like bacillary rods in the deep dermis of a fatal case of scleroderma. Fite-Faraco (acid-fast) stain, x1000
 
 
I anxiously awaited the growth of a TB germ in culture, but instead the scleroderma culture was a mix of non-acid-fast coccoid forms and typical acid-fast rods (Fig 2.) But the pleomorphic culture could not be precisely identified by the experts. From further biopsies made several years later when the patient died of this disease, we were able to grow and identify Mycobacterium fortuitum, an "atypical" species of acid-fast mycobacteria. I wrote about the details of this case in my book, "The Cancer Microbe." Early in my career I learned that microbes could perform "tricks" I never learned about in bacteriology in medical school; and sometimes the bacteria stumped the experts.
 
 
 
 
Fig 2. SCLERODERMA, PLEOMORPHIC ACID-FAST BACTERIA. Culture from fatal case of systemic scleroderma showing two distinct forms: non-acid-fast (blue stained) cocci and acid-fast (red-stained) rod forms typical of mycobacteria. The precise identification of this bacterial isolate could not be determined. Ziehl-Neelsen (acid-fast) stain, x1000
 
 
 
Over the next few years I finally realized that finding acid-fast bacilli in scleroderma biopsies was extremely difficult and time consuming. However, variably acid-fast coccoid forms were fairly numerous, even though these round, granular forms were basically ignored by my colleagues. The "naked" coccoid forms seen in Fig 3 clustered among the collagen fibers (without any surrounding cellular reaction) is the common presentation of scleroderma bacteria in the dermis. Various photos of the scleroderma microbe can be viewed in our paper entitled "Bacterial infection as the cause of scleroderma," published at the www.joimr.org website (Cantwell and Ganger, 2006).
 
 
 
Fig 3. SCLERODERMA. A collection of  "naked" blue-stained coccoid forms in the deep dermis of the skin with no surrounding tissue cells. This is the common appearance of the pleomorphic scleroderma microbe in vivo. Fite-Faraco (acid-fast) stain, x1000
Click here for larger image
 
 
 
My panniculitis study (Cantwell et al) and my first unusual scleroderma case (Cantwell and Wilson) were both reported in 1966. I never dreamed these studies would provoke a lifelong interest in such work until I met Virginia Livingston in 1968.
 
The "cancer microbe" and the microbiology of cancer
 
My friend and mentor, the late Virginia Wuerthele_Caspe Livingston MD, first discovered pleomorphic acid-fast bacteria in scleroderma two decades earlier in 1947. Soon after, she and her colleagues began their studies of similar bacteria in various forms of cancer (Wuerthele-Caspe Livingston et al, 1950). In this research, she collaborated with microbiologist Eleanor Alexander-Jackson, cell cytologist Irene Diller, and tuberculosis icon Florence Seibert. I have written about these women, as well as other cancer microbe researchers, in "Four Women Against Cancer."
 
The search for a microscopically visible infectious agent in cancer dates back to the late nineteenth century, when Scottish pathologist William Russell reported "the parasite of cancer." Even though his cancer microbe work was confirmed by a few other scientists, the idea of a cancer-causing germ was totally rejected in the early years of the last century for various reasons. Nevertheless, a few adventurous researchers kept this research alive during the 1920s and 1930s, but their reports were also dismissed or ignored by the medical establishment.
 
Livingston was the first to show that the cancer microbe could be detected in its many pleomorphic forms both in vivo and in vitro by use of the acid-fast stain. This stain is traditionally used to detect the acid-fast mycobacteria that cause TB (Mycobacterium tuberculosis) and leprosy (M. leprae). Over the past half-century the number of recognized mycobacterial species has greatly increased, and the list grows every year. (For more details on the "acid-fast stain", as well as "bacterial pleomorphism" and "atypical mycobacteria", Google these key words.)
 
The classic form of mycobacteria is a red-stained acid-fast granular rod shaped bacillus. The pleomorphic cancer microbe detected by Livingston and others, can be non-acid-fast (blue-stained), weakly acid-fast (purple) or strongly acid-fast (red). Tissue and laboratory findings indicate the cancer germ is most closely related to the acid-fast mycobacteria. The smallest forms are filterable and virus-like; the largest forms may resemble yeast or fungal-like cells; and the most frequently encountered forms resemble staphylococci and coccobacilli (cocci and rods) in tissue and in culture.
 
The cancer microbe has been described as existing within the cell (intracellular) and outside the cell (extracellular). The bacteria have a particular affinity for connective tissue. Diller showed that the microbe could also live within the nucleus of the cell (intranuclear), where it could conceivably alter the genome, the genetic material of the cell. The smallest forms of the microbe are "filterable" and virus-sized, and the largest forms of the bacteria in vivo are compatible with what pathologists call "Russell bodies."
 
I believe Russell bodies represent large cell-wall-deficient forms of bacteria. They are comparable to bacterial growth forms which microbiologists call "large bodies." For more information about Russell bodies and Russell's "parasite of cancer," refer to my internet article "The Russell body: The forgotten clue to the bacterial cause of cancer," - and my youtube.com video entitled "The cancer microbe and the Russell body." One can also Google the "microbiology of cancer." Cancer bacteria have many characteristics of "cell wall deficient L-forms." Some of the published research of icons in this field of microbiology, such as Lida H Mattman and Gerald Domingue, is available on the net.
 
Carefully observed bacterial isolates from cancer are notoriously difficult to classify into a particular species, due to their pleomorphism. Or they may simply be regarded as common staphylococci, streptococci, or as coccobacilli (corynebacteria, propionibacteria) of no particular significance. Such isolates are generally considered as non-important "contaminants" or as "secondary invaders" of cancerous tissue. It is only by repeatedly comparing what is grown in vitro from diseased tissue to what is observed in vivo, as well as acid-fast staining of both, that can determine if one is dealing with a possible "cancer microbe."
 
Most physicians still vehemently reject the idea of cancer-causing bacteria (with the recent exception of stomach cancer). In 1970 when Livingston named her "hidden killer" cancer germ Progenitor cryptocides, she infuriated cancer experts and the American Cancer Society for her audacity in naming a cancer germ that didn't exist, and for devising new treatments for her cancer patients. For many years until her death in 1990, Livingston was widely regarded in the medical community as a "quack." She is largely forgotten, along with other scientists who passionately wrote about bacteria in cancer.
 
The proposed bacterial "Star Cell"
 
After meeting Virginia and the three women, my research segued into searches for similar pleomorphic bacteria in vivo in non-cancerous diseases, such as lupus and sarcoidosis. Later, when I became more confident about my microscopic studies, I wanted to see if these microbes could be found in cancer, so I undertook bacterial studies in Hodgkin's and non-Hodgkin's lymphoma, breast cancer, and in "classic" (pre-AIDS) Kaposi's sarcoma.
 
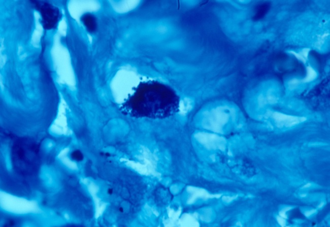
In my years of microscopic study, I repeatedly encountered characteristic tightly-packed formations of bacteria which can be identified, assuming one is patient and examines slides under the highest power of the microscope (oil immersion). I am tentatively suggesting a name for these clusters of round bacteria that are packed into or around a cell. For more than a century, various investigators have termed these tiny forms as coccoid forms, cocci, micrococci, granules, globoid forms, spheres, spore forms, spore balls, cell wall deficient bacteria, L-forms, mycoplasma, and other names. Unfortunately, the terminology in this field is a mess, but all these terms basically denote a small round form.
 
I propose the term "star cluster cell," or "star cell" for short, because the appearance of these groupings in vivo suggests a resemblance to what astronomers call "globoidal clusters" in which the stars are closely allied together in the heavens, and appear as "dots" in the cosmos (Fig 4).
 
 
 
 
Fig 4. STAR CLUSTER. Copyrighted photo (#DP012) of a tight globular star cluster called M15, filled with ancient stars, about 12 billion years old. Courtesy of Jason Ware (www.galaxyphoto.com). Compare the various "clusters" of bacteria in vivo in the various photos with the cosmic design of a star cluster.
 
 
 
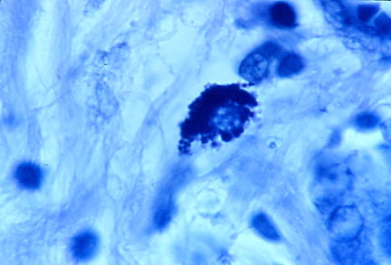
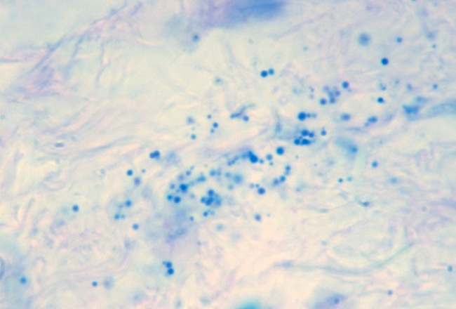
These bacterial clusters can infect a cell in small numbers, or they can be so tightly-packed into a cell that they obscure the nucleus. In addition, the coccoid forms may appear as scattered extracellular forms, far removed from any cell. I observed star cells in breast cancer (Fig 5), lung cancer (Fig 6) and prostate cancer (Fig 7). Scattered extracellular variably-sized coccoid forms in a "milky way" pattern are shown in the fatty layer of the skin in panniculitis (Fig 8).
 
 
 
Fig 5. BREAST CANCER showing intracellular coccoid forms in "star cell" formation. in Fite (acid-fast stain, x1000, in oil)
 
 
 
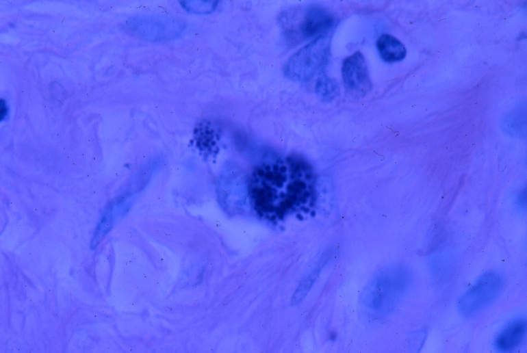
Fig 6. LUNG CANCER showing tightly packed intracellular coccoid froms in the lung tumor. Fite (acid-fast) stain, x1000
Click Here For larger Image
 
 
 
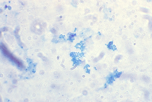
Fig 7. PROSTATE CANCER. A closely-knit focus of blue-stained non-acid-fast coccoid forms in the cancerous prostate. Fite (acid-fast) stain, x1000
Click Here For larger Image
 
 
 
Fig 8. PANNICULITIS. Inflammation of the fat portion of the skin in a case of disabling pansclerotic morphea, a scleroderma-like disease. Note the scattered "milky way" appearance of the individual variably-sized non-acid-fast coccoid forms in the fatty layer. Fite (acid-fast) stain, x1000
Click Here For larger Image
 
 
Individual coccoid forms can vary in size. In the late 1970s, my mentor Florence Seibert advised me to examine autopsy tissue of patients dying of scleroderma. She reasoned that if bacteria are involved in scleroderma skin, they should also be present in other organs in patients dying from this disease; and this would strengthen my claims of a bacterial etiology. Her suggestion led me (with the aid of several sympathetic pathologists) to study autopsy tissue and to discover pleomorphic acid-fast bacteria in patients dying from scleroderma, lupus erythematosus, Hodgkin's lymphoma, Kaposi's sarcoma, mycosis fungoides (a form of T-cell lymphoma), and AIDS.
 
Livingston sometimes referred to the cancer microbe as a "connective tissue parasite." At death, these coccoid forms, particularly in the connective tissue, can sometimes appear larger than they do in skin biopsies, suggesting they "plump-up" as the disease progresses to death. Plump star cells are seen in the connective tissue autopsy slides from lupus (Fig 9) and from Hodgkin's lymphoma Fig 10). Autopsy tissue examinations are a fertile area for further investigations into the role of bacteria in diseases of unknown etiology.
 
 
 
 
Fig 9 . LUPUS ERYTHEMATOSUS. Two "star cells" in the connective tissue seen in an autopsy specimen. Fite (acid-fast) stain, x1000
Click Here For larger Image
 
 
 
Fig 10. HODGKIN'S LYMPHOMA showing plump intra- and extracellular plump coccoid forms in the connective tissue at autopsy. Fite (acid-fast) stain, x1000
Click Here For larger Image
 
 
The cancer microbe in AIDS
 
Although HIV is almost universally accepted as the "sole cause of AIDS," my microscopic examinations of AIDS-damaged tissue indicates that bacteria play a crucial (and largely unrecognized) role in the progression of HIV infection into "full-blown" AIDS. HIV infection also leads to an increase in certain cancers in AIDS patients; and typical and atypical mycobacterial infection is common in AIDS patients worldwide, due to the extreme immunosuppression characteristic of AIDS.
 
In 1981, the year the AIDS epidemic became official, I reported variably acid-fast bacteria in "classic" (pre-AIDS) Kaposi's sarcoma (KS) cases. An autopsied case of KS, conducted with the assistance of a pathologist, also revealed similar bacteria post mortem (Cantwell and Lawson, 1981). When AIDS in gay men first appeared I was anxious to test their AIDS-damaged tissue and KS for acid-fast bacteria. Fig 11 shows two typical star cells in an enlarged lymph node diagnosed as "non-specific hyperplasia" in this reported AIDS case (Cantwell, 1982).
 
 
 
 
Fig 11. LYMPH NODE (AIDS). Two foci of coccoid forms ('star cells') in an enlarged AIDS-related lymph node reported as "non-specific hyperplasia." Fite (acid-fast) stain, x1000
 
 
 
 
In 1983, a year before the discovery of HIV, I reported variably acid-fast bacteria in AIDS-related KS in two gay men; and also myriads of similar bacteria in an autopsied case of AIDS and KS (Cantwell, 1983). Coccoid forms are numerous in skin tumors of AIDS-related KS (Fig 12).
 
 
 
 
Fig 12. AIDS-RELATED KAPOSI'S SARCOMA showing tightly-packed intracellular coccoid forms in the dermis of the skin tumor in "star cluster' formation. Fite (acid-fast) stain, x1000
 
 
 
In 1986 I detected rare acid-fast rods within a facial tumor diagnosed as an "immunoblastic sarcoma" (a "B cell" lymphoma tumor arising in the connective tissue) in an AIDS patient (Fig 13). A pleomorphic, atypical Mycobacterium avium-intracellulare (MAC) was cultured from the tumor (Fig 14). In my experience, coccoid forms are most likely to be easily encountered in vivo in scleroderma and in AIDS-damaged tissue.
 
 
 
Fig 13. AIDS-RELATED IMMUNOBLASTIC SARCOMA showing three extremely rare acid-fast rod-shaped bacteria (in the center of the photo) in vivo in the tumor. Mycobacterium avium-intracellulare was cultured from the lesion in this fatal case. Fite (acid-fast) stain, x1000.
 
 
 
 
Fig 14. PLEOMORPHIC MYCOBACTERIUM AVIUM-INTRACELLULARE. Smear of culture from AIDS-related immunoblastic lymphoma. Most forms are red-purple acid-fast rods. However, notice the blue-staining round coccus forms in the center of the photo. Ziehl-Neelsen (acid-fast) stain.
 
 
 
The enigmatic coccal form of acid-fast mycobacteria
 
I was taught in medical school that bacteria simply reproduce by splitting in half, but controversial studies of mycobacteria suggest these bacteria have a complex "life cycle." Such a view is widely considered anathema. As a result, pathologists only recognize the acid-fast rod of the TB germ - and ignore other reported pleomorphic forms of mycobacteria.
 
When country doctor Robert Koch first discovered the rod forms of M. tuberculosis in 1882, he also noted "granules" in the bacillus. These TB granules (also known coccoid forms) received little attention until Hans Much began studying them in 1907. He discovered these Gram-positive staining granules in suspected TB fluids in which Koch's acid-fast rods could not be found. Remarkably, he learned these non-acid-fast granules could "revert" into typical acid-fast rods. (For details on the enigmatic "Much's granules," read the 1932 paper on the net by Franklin R Miller regarding "induced development of non-acid-fast forms of bacillus tuberculosis and other mycobacteria.")
 
Fortunately, back in the 1970s, Eleanor Alexander-Jackson kept prodding me to study "cell wall deficient" forms of mycobacteria, which appear totally unlike the rod-shaped tubercle bacillus. Little did I know that I was opening a Pandora's Box of strange microbes, which would eventually lead to finding this type of germ in autoimmune disease, cancer, and even AIDS.
 
I was fascinated by an obscure 1964 report by Anna Csillag, entitled "The mycococcus form of mycobacteria" (also posted on the net). It helped me understand the curious relationship between the ubiquitous coccoid forms in scleroderma and in culture, and their relation to the acid-fast rod forms which were so exceedingly difficult to detect in skin biopsies.
 
Csillag's mycococcus was grown from M. tuberculosis and was strikingly similar to ordinary micrococci (i.e. staphylococci), suggesting that " a number of so-called micrococci belong in fact to the mycococci." I bought a stock culture of "mycococcus" from the American Type Culture Collection to compare with the coccoid forms in scleroderma (Fig 15). To my mind, they were indistinguishable.
 
 
 
Fig 15. MYCOCOCCUS. The controversial coccus form of mycobacteria derived from the acid-fast microbe that causes human tuberculosis. Note the similarity to the coccoid forms observed in vivo in the various diseases cited here. Ziehl-Neelsen (acid-fast) stain, x1000
Click Here For larger Image
 
 
In a 1987 report in Tubercle, entitled "Much's granules revisited," medical microbiologist John L Stanford MD wrote: "It is now 80 years since Hans Much published two of the most controversial papers even written about tubercle bacilli. In them he described the appearances of organisms that have come to be called Much's granules. Whether they exist, whether they are a form of tubercle bacillus, and whether they can replicate are questions that have never been settled completely. Out of fashion for many years, the possibility of their existence is skated over by most modern mycobacteriologists, yet it might be said that the more we learn of the tubercle bacillus, the more we need Much's granules to explain our findings. Our inability to find the causes of sarcoidosis [a TB-like disease] and a number of other idiopathic diseases, and our inability to grow the leprosy bacillus, would all gain a new dimension if Much's granules really existed."
 
In 1993, a DNA analysis by de Wit and Mitchison indicated that mycococci derived from mycobacteria did not exist. Traag et al (2009) also found no evidence that mycobacteria produced free-living "spores" (i.e cocci). But challenging this research were reports by J Ghosh et al in 2009, and by B Singh et al in 2010, showing that mycobacteria were indeed able to produce "spores."
 
Although this scientific controversy might appear esoteric, an understanding of the complex life forms of mycobacteria is essential when considering the proposed microbiology of cancer and diseases like scleroderma, lupus, sarcoidosis, AIDS, and even tuberculosis itself. I still don't understand why scientists and doctors can't agree (after a century) whether the granule/coccus form of mycobacteria exists or not, particularly when the TB germ infects billions of people. It is estimated that one-third of the 7 billion people on the planet are infected with this germ. How many people will get cancer? It is now estimated that 31% of people worldwide will suffer some form of cancer.
 
Cell wall deficient forms (L-forms) of mycobacteria
 
A 1992 study of cell wall deficient bacteria by Chandresekhar and Ratnam concluded that "acid-fast mycobacteria are converted into non-acid-fast variants which remain dormant, only to revert to the parent acid-fast bacilli in immunocompromised hosts, thence ultimately producing disease."
 
There are plenty of research studies showing that mycobacteria exhibit extreme pleomorphism and can exist in vivo and in vitro as cell wall deficient L-forms, lacking a fully-developed cell wall. According to Lilia Michailova of the Institute of Microbiology, in Sofia, Bulgaria, these forms vary in terms of their acid-fastness, and are undetectable with ordinary stains (such as the routine hematoxylin-eosin stain used by pathologists).
 
In an internet interview with Amy Proal of the Autoimmunity Research Foundation, Nadya Markova MD, a colleague of Michailova's at the Institute, bemoans the difficulty of getting this type of research published in journals because few people actually understand and want to accept these investigations. She notes that physicians unfortunately don't pay enough attention to the role of L-form bacteria in chronic diseases, and accept them with difficulty.
 
Some personal thoughts on cancer microbe research
 
The rejection of cancer microbe research should be reconsidered in light of new developments in 21st century microbiology. We now know there are an estimated ten trillion cells in the human body; and 90% of these cells are microbial cells, mainly bacterial cells. Some researchers now refer to the human body as a "superorganism." Yet, no serious consideration is given these largely unstudied body bacteria as possible cancer-causing agents or agents of chronic disease.
 
Recently, because of my old panniculitis research in the 60s, I was asked to examine the skin biopsy of an unusual case. I had previously suggested that an acid-fast stain be done, which was subsequently reported by the pathologist as negative for acid-fast bacteria. After studying the stained slide for fifty minutes under oil immersion (magnification, x1000), I detected one cell filled with purple coccoid forms. After another hour of study, I detected ten more bacterial cluster cells in the deep dermis and in the fat. Lending credence to the role of acid-fast bacteria in diseases of the fat, is a 2006 report by Neyrolles et al claiming that TB germs hide from the immune system in the fat cells.
 
I showed the intracellular coccoid cells to three dermatologists, none of whom had seen this type of star-cell formation before. I doubt I convinced any of them that these cells were indicative of bacteria, particularly in light of the negative appraisal by the pathologist. I also couldn't imagine many busy dermatologists (except for the most curious) spending hours peering into a microscope to search for "star cells" of dubious significance.
 
This may explain, in part, why there has been no confirmation (or denial) of my bacterial findings over the past five decades. Twenty years ago, one pathologist admitted he was aware of the coccoid formations, but did not want to report them because their precise significance was not known.
 
Proposing the name "star cell" will perhaps offend some pathologists, but perhaps it will encourage people to search for these bacterial clusters in acid-fast stained slides. As the photos here indicate, the star cell is "real," although the interpretation of its significance will undoubtedly cause controversy. These acid-fast forms are not stain artifacts or "nuclear debris," or "secondary invaders" or "opportunistic infections" because they are so consistently found in conjunction with pathologic changes.
 
Cell wall bacteria are notoriously resistant to antibiotics. I am sometimes asked how to kill these infective forms I have reported in tissue, but I have no clue how to put these bacteria back into harmony with the body. I believe these bacterial clusters are a vital part of the human body; and therefore impossible to eradicate totally. In that sense, they are the indestructible and immortal primordial elements of life that, like the star clusters in the heavens, cannot be destroyed.
 
There is an ancient saying in Hermetic astrology that states: "As above, so below." The axiom tries to explain why man is the microcosm of the universe. Stressing the concept that the visible stars in the sky are linked to life on earth, it was believed the microcosm and macrocosm are intimately connected.
 
What is the origin of the ubiquitous coccoid forms found in vivo? There is some evidence connecting these forms to the origin of life. (See my internet article: "Bacteria, cancer, and the origin of life.") Fossilized bacteria are now indicating to scientists how life may have evolved on planet Earth.
 
Further study of these primordial forms in vivo in man is desperately needed to determine how these microbes affect the life, health, disease and death of the human "superorganism." Perhaps the "star cell" will also reveal new connections between the microcosm and the macrocosm, as the ancients believed. After all, "star cells" are really "us."
 
[Dr. Cantwell is a retired dermatologist and the author of THE CANCER MICROBE and FOUR WOMEN AGAINST CANCER, both available from Amazon.com]
 
An extensive bibliography on the microbiology of cancer is available on request. Email: alancantwell@sbcglobal.net. Website: www.ariesrisingpress.com
 
 
 
Disclaimer
 
Donate to Rense.com
Support Free And Honest
Journalism At Rense.com
Subscribe To RenseRadio!
Enormous Online Archives,
MP3s, Streaming Audio Files, 
Highest Quality Live Programs


MainPage
http://www.rense.com


This Site Served by TheHostPros