Our Advertisers Represent Some Of The Most Unique Products & Services On Earth!




rense.com

Do TB-Type Bacteria
Cause AIDS?

By Alan Cantwell, MD
© 2007 Alan Cantwell, MD - All Rights Reserved
Journal of Independent Medical Research (JOIMR.org)
6-7-7
 
Tuberculosis-type bacteria and AIDS
 
Are tuberculosis-type bacteria necessary to transform HIV infection into "full blown" AIDS? Do virus-like and latent forms of bacteria go unrecognized and undetected in AIDS patients? Could HIV ("the virus that causes AIDS") actually be a virus-like form of a TB germ?
 
Such questions are blasphemous because most scientists believe the human immunodeficiency virus (HIV) is "the sole cause of AIDS."
 
However, there is a close link between AIDS and TB. And infections with tuberculous and non-tuberculous mycobacteria are common
"opportunistic infections" in AIDS. This communication will explore the possibility that these bacteria are necessary to allow HIV infection to progress to full-blown AIDS.
 
HIV, pulmonary TB and "atypical" acid-fast mycobacteria
 
It must be clearly understood that one cannot catch HIV/AIDS by close contact with a patient, although HIV is obviously spread through unprotected sex with an infected person.
 
 
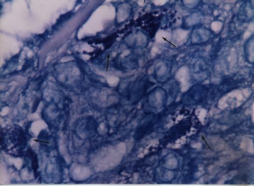
Figure 1: Pleomorphic bacteria in an enlarged lymph node from an early case of AIDS. Large Russell bodies (RB) and tiny coccoid forms (arrow) are present. Gram stain, magnification X1000, in oil.
 
 
 
Figure 2: Tiny coccoid forms of bacteria (arrows) in the skin tumor of AIDS-related Kaposi's sarcoma. Acid-fast stain, X1000, in oil.
 
 
 
Figure 3: Three areas of purple-stained coccoid forms of bacteria in an additional case of AIDS-related Kaposi's sarcoma of the skin. Acid-fast stain, X1000, in oil.
 
 
 
Figure 4: Three "typical" red-stained acid-fast rod forms of Mycobacterium avium in an AIDS-related cancerous skin tumor ("immunoblastic sarcoma"). Acid-fast stain, X1000, in oil.
 
 
 
HIV is not spread in the air. However, the acid-fast mycobacteria that cause human pulmonary TB can spread from person-to-person via inhalation. Unlike other bacteria, mycobacteria are colored red or red-purple when stained with a laboratory acid-fast staining procedure . Thus, the "acid-fast" stain is used to identify mycobacteria and is a unique characteristic of these microbes.
 
The two common types of acid-fast mycobacteria found in AIDS are Mycobacterium tuberculosis (the germ that causes human TB) and Mycobacterium avium. M. tuberculosis is found only in humans, but other species or types of "non-tuberculous" mycobacteria (like M. avium) can be found throughout nature, in water, soil, animals and in man. Please consult the Wikipedia for more details about tuberculosis and the various species of acid-fast mycobacteria that can infect persons with AIDS.
 
HIV and TB mycobacteria are a lethal combination. Someone who is HIV-positive and infected with TB bacilli is many times more likely to become sick with TB than someone infected with TB bacilli who is HIV-negative. Most frightening is the fact that more and more cases of drug-resistant TB are appearing in HIV-infected patients, particularly in sub-Saharan Africa.
 
The World Health Organization estimates that every second someone in the world is newly infected with TB bacteria. One-third of the world's population is infected with TB microbes. Most infected people will not develop pulmonary TB because the immune system "walls off" the TB bacilli and allows them to lie dormant for years. However, when someone's immune system is weakened, the chances of becoming sick with TB are greater.
 
TB mycobacteria are known to be "pleomorphic," in that they can exhibit various growth forms in culture and in tissue. "Pleomorphic" forms of M. tuberculosis and other species of "non-tuberculous" and "atypical mycobacteria" have been studied for decades for their effects on human illness. Unfortunately, scientists rarely pay attention to these pleomorphic forms; and pathologists rely primarily on the demonstration of the "typical" acid-fast rod forms of mycobacteria to diagnose tuberculosis and/or mycobacterial disease (See Figure 4). This is unfortunate because the acid-fast bacteria that are demonstrable in AIDS and cancer (and certain other immunological diseases) are primarily pleomorphic and "filterable" forms, which often go
unrecognized (Figures 1-3).
 
TB caused by M. tuberculosis is a leading cause of death among people who are HIV-positive and accounts for about 13% of AIDS deaths worldwide.
 
The type species of acid-fast mycobacterial infection in AIDS depends largely on the geographic area. For example, M. tuberculosis is the common acid-fast infection in Africa and in Brazil, while in the United States M avium complex is the most common species of acid-fast infection.
 
Bermudez et al. estimate that 50-60% of U.S. AIDS patients are infected with the non-tuberculous Mycobacterium avium complex. In the U.S. it is rare to find a case of M.avium that is not AIDS associated.
 
 
Is HIV the sole cause of AIDS?
 
The diagnosis of AIDS requires a patient to be HIV-positive by blood testing. However, there is a precise clinical difference between HIV infection and AIDS. It is well-known that some people can be HIV-positive for many months or years before showing signs of immune system suppression and/or opportunistic infections characteristic of "full-blown" AIDS. For this reason it is possible that another infectious agent (in addition to HIV) might be required to produce full-blown AIDS.
 
This communication suggests that mycobacteria and "mycoplasmas" are a necessary co-factor in AIDS.
 
Infection with HIV leads to immunosuppression and inevitable opportunistic infections. The leading cause of death in AIDS is bacterial infection; and infection mycobacteria is common in advanced cases of AIDS.
 
Like HIV, mycobacteria can produce immune system damage and lowering of the CD4 and CD8 lymphocyte blood count that are characteristics of AIDS.
 
Although most scientists agree that HIV causes AIDS, there is a small but highly vocal group of researchers called "The Perth Group" that deny HIV as the cause. The leading spokesperson for the Group is molecular biologist Peter Duesberg, who believes AIDS in gays is due to drugs and a sexual lifestyle. One can Google "The Perth Group" for details about their objections to HIV. The National Institutes of Health provides counterarguments on a webpage entitled "The Evidence that HIV causes AIDS" located at:http://www.niaid.nih.gov/factsheets/evidhiv.htm
 
Suffice to say, that neither the AIDS Dissenters nor the AIDS establishment pays much attention to TB-like bacteria as an underlying and necessary co-factor in the development of AIDS.
 
 
Is AIDS caused by pleomorphic acid-fast bacteria?
 
As mentioned, mycobacteria can exist in forms other than the typical acid-fast (red-stained) rod-shaped form. Pleomorphic forms of mycobacteria include cell-wall deficient forms, so-called "L- forms", filterable forms, granular forms. mycoplasma-like and virus-like forms, as well as large "giant bodies", some as large as red blood cells.
 
These atypical forms are not well-recognized by scientists, but such forms have been repeatedly described not only in AIDS, but also in cancer and in certain immunologic diseases.
 
The "virus-like" and "filterable" and "granular" forms of TB bacteria have been noted by researchers for more than a
century. Some of these forms are submicroscopic. The relationship of these submicroscopic virus-sized forms of mycobacteria to what scientists currently call "viruses" has not been fully explored.
Could tiny submicroscopic forms of bacteria, virus-like mycoplasma forms, and recently described "nanobacteria" be related to
retroviruses like HIV? At present, virologists and bacteriologists are silent on this issue.
 
 
AIDS and small bacteria ("mycoplasma') as a co-factor
 
The origin of viruses is not known. However, it is clear that virus- like mycoplasmas are related to the bacteria.
 
In the late 1980s a new "virus" was detected and reported from AIDS cases. However, on closer molecular study it was determined that the "virus-like infectious agent" was actually a small form of bacteria called Mycoplasma penetrans.
 
The continuing research of Luc Montagnier, the co-discoverer of HIV, indicates mycoplasma-type bacteria act as a co-factor with HIV in the development of AIDS. In a New York Times interview, the Pasteur scientist declared "AIDS is caused not by a virus alone, but by a microbe and a virus working together." In laboratory tests he found that a small bacterium-like organism called a mycoplasma when combined with HIV could kill human cells in a way that HIV by itself cannot. ('Evidence is said to increase on microbe's role in AIDS.' June 22, 1990.) According to Times reporter Philip J Hilts, "If the theory is confirmed, it would force a drastic re-evaluation of efforts to prevent and treat AIDS."
 
In Virus [2000] Montagnier writes that Mycoplasma penetrans has the ability to penetrate a cell like a virus. "We do not yet know whether M. penetrans is indeed the co-factor that explains the virulence of HIV, but it does demonstrate the right characteristics: a weak presence in the HIV-negative population, a strong prevalence in the HIV-positives. And there may be still be other species of bacteria, as yet unidentified, present in AIDS patients not infected with M. penetrans, which play an analogous role to this mycoplasma."
 
 
Acid-fast bacteria in AIDS and cancer
 
HIV is a cancer-causing virus and HIV-positive people are at increased risk for certain types of cancer, particularly lymphoma and Kaposi's sarcoma. Therefore, AIDS must have some connection to cancer and its origin.
 
Most scientists currently believe some cancers are caused by viruses. However, since the late nineteenth century there have been reports indicating that bacteria ­not viruses- are the infectious cause of cancer. In 1890 Scottish pathologist William Russell discovered "the parasite of cancer" in all the cancers he examined. He believed these parasites were the infectious cause of cancer.
 
Pathologists now recognize Russell bodies in cancerous tissue, although they are not considered as infectious bodies. Russell's observations were condemned by his colleagues who did not consider cancer an infectious disease, and who had no comprehension of large "pleomorphic" forms of bacteria that "Russell bodies" most likely represent. (For more details please see, "The Russell Body: The Forgotten Clue To The Bacterial Cause Of Cancer" at http://www.rense.com/general44/russell.htm)
 
The idea that cancer is caused by bacteria is generally condemned in cancer circles. The reason for the antagonism towards the cancer microbe theory of cancer is bizarre because there is much credible research in this field and the theory has never been disproven. The recent acceptance of bacteria as the cause of most stomach ulcers is a harsh reminder that generations of scientists can fail to recognize bacteria in serious and common diseases.
 
It is not possible here to include all the evidence pointing to bacteria in cancer and AIDS. Details of a century of cancer microbe research are contained in my book: The Cancer Microbe: The Hidden Killer in Cancer, AIDS, and Other Immune Diseases [1990]. Seven personal papers showing microphotographs of cancer microbes in various diseases, including AIDS, are posted on the www.joimr.org website.
 
The leading proponents of the bacterial cause of cancer in the twentieth century were a group of four women scientists: physician Virginia Livingston, microbiologist Eleanor Alexander-Jackson, cell cytologist Irene Diller, and world-famous biochemist and tuberculosis expert Florence Seibert. I wrote about their remarkable collaboration in cancer microbe research in Four Women Against Cancer; Bacteria, Cancer and the Origin of Life [2005]. A wealth of information is also available on the Internet by Googling: "cancer bacteria" and/or "cancer microbes."
 
In 1950 Virginia Livingston was the first scientist to recognize that the cancer microbe was a highly pleomorphic agent closely related to the acid-fast mycobacteria that cause TB. The key to the detection of the cancer microbe in culture and in cancerous tissue was her discovery that the microbe stained "acid-fast" at some stage of its "life cycle." She and her colleagues reported that the various pleomorphic forms of the cancer bacterium were virus- like, mycoplasma-like and fungal-like.
 
When AIDS first began, I was the first researcher to suggest that acid-fast bacteria were a possible cause of "classic" Kaposi's sarcoma. Before the discovery of HIV in 1984, Cantwell reported that acid-fast bacteria could be found in the enlarged lymph nodes that comprised the earliest stage of AIDS (so-called "AIDS- related complex"), and also in AIDS-related Kaposi's sarcoma (the badly-titled "gay cancer'), and in the AIDS-damaged organs at autopsy in a fatal case of AIDS.
 
This research was published in medical journals and summarized in my 1984 book: AIDS: The Mystery and the Solution. However, all these findings were inexplicably ignored by the AIDS experts.
 
Figure 1 is a microscopic section of a Gram-stained enlarged lymph node from an early case of AIDS. The pleomorphic forms include large Russell bodies (RB) and small round coccoid forms (arrow). Figure 2 is an acid-fast stained tissue section from AIDS-related Kaposi's sarcoma showing many tiny granular and coccoid forms in the skin. Figure 3 is a color photo of an acid-fast stained tissue section from AIDS-related Kaposi's sarcoma showing three areas of purple stained round coccoid forms of bacteria in the skin tumor. Figure 4 shows three typical acid-fast (red-stained) rod forms of Mycobacterium avium within the tissue section of an "immunoblastic sarcoma" of the skin in a patient with AIDS. The acid-fast stain is the stain used to demonstrate TB-like mycobacteria, and is the key stain necessary to detect acid-fast bacteria in AIDS-damaged tissue. All the photographs are taken at the highest magnification of the light microscope (1000 times) and examined under oil immersion.
 
 
The importance of the HIV blood test
 
Despite the protestations of the AIDS Denialists, a "positive"
HIV test is exceedingly important because it is a harbinger of possible impending suppression of the immune system and opportunistic infections that accompany full-blown AIDS. That is why it is necessary to avoid sexual infection with HIV and to undergo HIV antibody testing when indicated.
 
When people are tested for HIV, they are not being tested directly for the virus, but rather for antibodies against the virus. In order for a lab blood test to be developed to test for HIV, it was necessary to grow HIV in large quantity in the laboratory.
 
How was HIV grown? How do we know the laboratory cultures of HIV are "pure" virus? How can we be sure the HIV blood test is a reaction solely against HIV? Could virus-like mycoplasmas have contaminated the lab culture of HIV? Could HIV be a virus-like form of TB mycobacteria and/or virus-like mycoplasmas? These are a few questions that concern some researchers.
 
 
Is HIV "a virus"?
 
 
It is universally claimed that HIV is a virus, although a few researchers have doubts. One of the reasons for doubt is the questionable "purity" of HIV in culture. Unlike bacteria which can be grown in artificial culture, viruses need to be grown in living cells. In 1984 HIV was finally isolated in cell culture with great difficulty and with questionable techniques in Robert Gallo's lab.
 
Pulitzer Prize-winning writer John Crewdson presents a highly detailed and unflattering account of the discovery of HIV in Science Fictions: A Scientific Mystery, A Massive Cover-Up, and the Dark Legacy of Robert Gallo [2002]. He notes that Gallo's lab cultured HIV by mixing the blood of an AIDS patient along with the blood of ten other AIDS patients. This mix was seeded into a tissue cell culture comprised of a white blood "cell line" derived from a patient with cancer of the blood.
 
Enough HIV was finally cultured from this witches' brew to allow the manufacture of the HIV blood test developed by Gallo. Not surprisingly, some researchers and AIDS Dissidents question the "purity" of the HIV lab culture, as well as the accuracy of the blood test in proving infection with HIV.
 
Microbiologist Phyllis Evelyn Pease, in AIDS, Cancer and Arthritis: A New Perspective [2006], claims the pooling of virus from multiple patients to grow HIV "could almost guarantee the isolation of mycoplasmas." She is concerned that undetected mycoplasma could be present in the cancerous cell line used to grow HIV, noting that mycoplasmas "can still persist in a covert but viable form and thus are able to cause further errors in areas of serology, biochemistry and molecular biology."
 
Traditionally "viruses" have been physically separated from bacteria in the laboratory by the use of filters. With proper size filters the smaller-sized viruses slip through the filter leaving the larger bacteria behind. But, in reality, the dividing line between bacteria and viruses is not so simple. Pease writes that "it is now widely recognized that smaller elements of bacteria including mycoplasmas are not excluded by filtration." She explains that "in the past such filterable forms have been identified as viruses until they have been recognized as bacteria, that is, mycoplasmas, by virtue of their ability to grow in cell- free medium." In short, she suggests some retroviruses like HIV might be "sub-cellular forms of bacteria."
 
Lawrence Broxmeyer is a physician who believes TB-like bacteria cause AIDS. In AIDS: What the Discoverers of HIV Never Admitted. Is AIDS Really Caused by a Virus? [2003], he searches the medical literature and concludes that M. tuberculosis, perhaps in concert with other species of acid-fast bacteria (such as M. avium), is the likely cause of AIDS and the immune system abnormalities that accompany it. He suggests HIV "is simply one of the L-forms (i.e. mycoplasma-like forms) of an atypical mycobacteria."
 
The back cover of Broxmeyer's book proclaims: "Once upon a time a small group of politically powerful scientists rammed a flawed theory on the origin and cause of AIDS down America's and then the world's throat. Yet we are still led to believe that we are fortunate that retroviruses, only discovered in the 1970s, were uncovered just in time to label them in a killer AIDS epidemic. Although it is currently difficult to find anyone who openly questions HIV as the cause of AIDS, a fast-growing number express their doubts privately." Broxmeyer believes the prospects for a cure or an AIDS vaccine depend on the recognition of TB bacteria as the underlying cause.
 
 
Why are bacteria in AIDS important?
 
The AIDS epidemic is a disaster for the human race. Twenty-five million people have already died, including a half-million Americans. Forty million are currently infected with HIV.
 
There is no cure for AIDS and the current treatment is so expensive that few people in the world can afford it without subsidies.
 
AIDS is a billion dollar industry and billions have been poured into AIDS research, all of it based on the simplistic belief that the disease is caused solely by a virus. The role of bacteria in the production of AIDS is largely ignored, even though Luc Montagnier (who first discovered HIV at Pasteur) believes that mycoplasma are a necessary co-factor for HIV to kill cells. Unfortunately, Montagnier seems to be unaware of my published reports and books showing bacteria in AIDS-damaged tissue; and my suggestion that that these bacteria represent cell wall deficient and mycoplasma-like forms of bacteria related to acid-fast mycobacteria.
 
It is easier to develop treatments against bacteria than it is for viruses. If TB-like bacteria are essential for HIV to lead to AIDS then antibiotics and possibly vaccines might be developed to combat these disease producing agents.
 
Although acid-fast mycobacteria have been ignored as AIDS and cancer-causing infectious agents, there is enough evidence in the medical literature to warrant further investigation and recognition of these bacteria as possible etiologic agents.
 
 
Selected References:
 
Alexander-Jackson E. A specific type of microorganism isolated from animal and human cancer: Bacteriology of the organism. Growth 18: 37-51, 1954.
 
Bermudez LE, Parker A, Goodman JR. Growth within macrophages increases the efficiency of Mycobacterium avium in invading other macrophages by a complement receptor-independent pathway.
Infect Immun. 1997 May;65(5):1916-25.
 
Broxmeyer L. Is AIDS really caused by a virus? Med Hypotheses. 2003 May;60(5):671-88.
 
Cantwell AR Jr. Bacteriologic investigation and histologic observations of variably acid-fast bacteria in three cases of Kaposi's sarcoma. Growth 45: 79-89, 1981.
 
Cantwell AR Jr, Lawson JW. Necroscopic findings of pleomorphic, variably acid-fast bacteria in a fatal case of Kaposi's sarcoma. Journal of Dermatologic Surgery and Oncology 11: 408-412, 1981.
 
Cantwell AR Jr. Variably acid-fast bacteria in vivo in a case of reactive lymph node hyperplasia occurring in a young male homosexual. Growth 46: 331-336, 1982.
 
Cantwell AR. Variably acid-fast cell wall-deficient bacteria as a possible cause of dermatologic disease. In, Domingue GJ, editor. Cell Wall Deficient Bacteria. Reading: Addison-Wesley Publishing Co; 1982. Pp. 321-360.
 
Cantwell AR Jr. Kaposi's sarcoma and variably acid-fast bacteria in vivo in two homosexual men. Cutis 32: 58-64,68, 1983.
 
Cantwell AR Jr. Necroscopic findings of variably acid-fast bacteria in a fatal case of acquired immunodeficiency syndrome and Kaposi's sarcoma. Growth 47: 129-134, 1983.
 
Cantwell AR Jr, Rowe L: African "eosinophilic bodies" in vivo in two American men with Kaposi's sarcoma and AIDS. Journal of Dermatologic Surgery and Oncology 11: 408-412, 1985.
 
Cantwell AR Jr.Mycobacterium avium-intracellulare infection and immunoblastic sarcoma in a fatal case of AIDS.
Growth. 1986 Spring;50(1):32-40.
 
 
Croxson TS, Ebanks D, Mildvan D.Atypical mycobacteria and Kaposi's sarcoma in the same biopsy specimens. N Engl J Med. 1983 Jun 16;308 (24):1476.
 
Diller IC, Diller WF. Intracellular acid-fast organisms isolated from malignant tissues. Trans Am Micros Soc 84: 138-148, 1965.
 
Lo SC, Shih JW, Newton PB 3rd, Wong DM, Hayes MM, Benish JR, Wear DJ, Wang RY. Virus-like infectious agent (VLIA) is a novel pathogenic mycoplasma: Mycoplasma incognitus.
 
Logani S, Lucas DR, Cheng JD, Ioachim HL, Adsay NV. Spindle cell tumors associated with mycobacteria in lymph nodes of HIV-positive patients: 'Kaposi sarcoma with mycobacteria' and 'mycobacterial pseudotumor'. Am J Surg Pathol. 1999 Jun;23(6):656-61.
 
Montagnier L, Blanchard A. Mycoplasmas as cofactors in infection due to the human immunodeficiency virus. Clin Infect Dis. 1993 Aug; 17 Suppl 1:S309-15.
 
Pease P: Bacterial Origin of Certain Viruses: Identity of the Eaton Agent with Streptococcus MG. Nature 197, 1132 (16 March 1963).
 
Russell W. An address on a characteristic organism of cancer. Br Med J. 1890; 2:1356-1360.
 
Seibert FB, Feldmann FM, Davis RL, Richmond IS. Morphological, biological, and immunological studies on isolates from tumors and leukemic bloods. Ann N Y Acad Sci. 1970 Oct 30;174(2):690-728.
 
Wuerthele-Caspe (Livingston) V, Alexander-Jackson E, Anderson JA, et al. Cultural properties and pathogenicity of certain microorganisms obtained from various proliferative and neoplastic diseases. Am J Med Sci 220: 638-648, 1950.
 
Zakowski P, Fligiel S, Berlin GW, Johnson L Jr. Disseminated Mycobacterium avium-intracellulare infection in homosexual men dying of acquired immunodeficiency. JAMA. 1982 Dec 10;248(22):2980-2.
 
[Alan Cantwell M.D. is retired dermatologist. He is the author of The Cancer Microbe: The Hidden Killer in Cancer, AIDS, and Other Immune Diseases, and Four Women Against Cancer: Bacteria, Cancer and the Origin of Life, both published by Aries Rising Press, PO Box 29532, Los Angeles, CA 90029 (www.ariesrisingpress.com). His books are available from Amazon.com and via Book Clearing House at 1-800-431-1579.
Email address: alancantwell@sbcglobal.net
 
 
Alan Cantwell M.D.
alancantwell@sbcglobal.net
 
http://www.ariesrisingpress.com
FOUR WOMEN AGAINST CANCER:
Bacteria, Cancer and the Origin of Life

Disclaimer






MainPage
http://www.rense.com


This Site Served by TheHostPros