Dr. Johan Joubert
Veterinary Atrocities

 

1

 

 

cat path 1-4

 

cat perio 2,5

 

 

Dent tartar 1-5

 


 

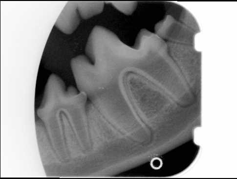
CL1-3

 

 

 

 

 

 

 

NORMAL MANDIBLE X-RAY DOG

 

Bess Sanxter

 

destructive disorder